ನಾವೆಲ್ಲ ಕೇಳಿರುತ್ತೇವೆ, ನೋಡಿರುತ್ತೇವೆ - ಬೆನ್ನಲ್ಲಿ ನೀರು ತುಂಬಿದೆ, ಹೊಟ್ಟೆಯಲ್ಲಿ ನೀರು ತುಂಬಿದೆ, ತಲೆಯಲ್ಲಿ ನೀರು ತುಂಬಿದೆ, ಎದೆಯಲ್ಲಿ ನೀರು ತುಂಬಿದೆ. ಇದೆಲ್ಲಾ ಏನು ? ನಮಗೂ ಆಗಬಹುದಾ ?
ಇದರ ಲಕ್ಷಣಗಳು ಏನು ? ಇದನ್ನು ಹೇಗೆ ಗುರುತಿಸಬಹುದು? ಇದಕ್ಕೆ ಏನು ತಪಾಸಣೆ ಮಾಡಿಸಬೇಕು? ಈ ತರಹದ ಸಮಸ್ಯೆಗಳಿಗೆ ಯಾರನ್ನು ಕಾಣಬೇಕು ?
ಮತ್ತು ಇದನ್ನು ಬರದೇ ಇರೋ ಹಾಗೆ ಹೇಗೆ ನೋಡಿಕೊಳ್ಳಬೇಕು?
ಇವೆಲ್ಲ ಪ್ರಶ್ನೆಗಳಿಗೆ ಹುಬ್ಬಳ್ಳಿಯ, ಕಲ್ಪನಾ ಮಲ್ಟಿಸ್ಪೆಷಾಲಿಟಿ ಕ್ಲಿನಿಕ್ ವೈದ್ಯರಾದ ಡಾ. ಚೇತನ್ ಕೆ ಗಂಟೆಪ್ಪನವರ (Dr Chetan K Ganteppanavar) ಅವರು ತಿಳಿಸುತ್ತಾರೆ.
ಈ ಎಲ್ಲಾ ಪ್ರಶ್ನೆಗಳಿಗೆ ಉತ್ತರ ತಿಳಿದುಕೊಳ್ಳುವ ಮುನ್ನ ಒಂದು ರೋಗಿಯ ಕಥೆಯನ್ನು ಕೇಳೋಣ : ನಾವು ಈ ಚಿತ್ರದಲ್ಲಿ ನೋಡಬಹುದು ಒಬ್ಬರ ಬೆನ್ನಲ್ಲಿ ಸೂಜಿಯನ್ನು ಹಾಕಿ ನೀರನ್ನು ತೆಗಿತಾ ಇರೋದು.

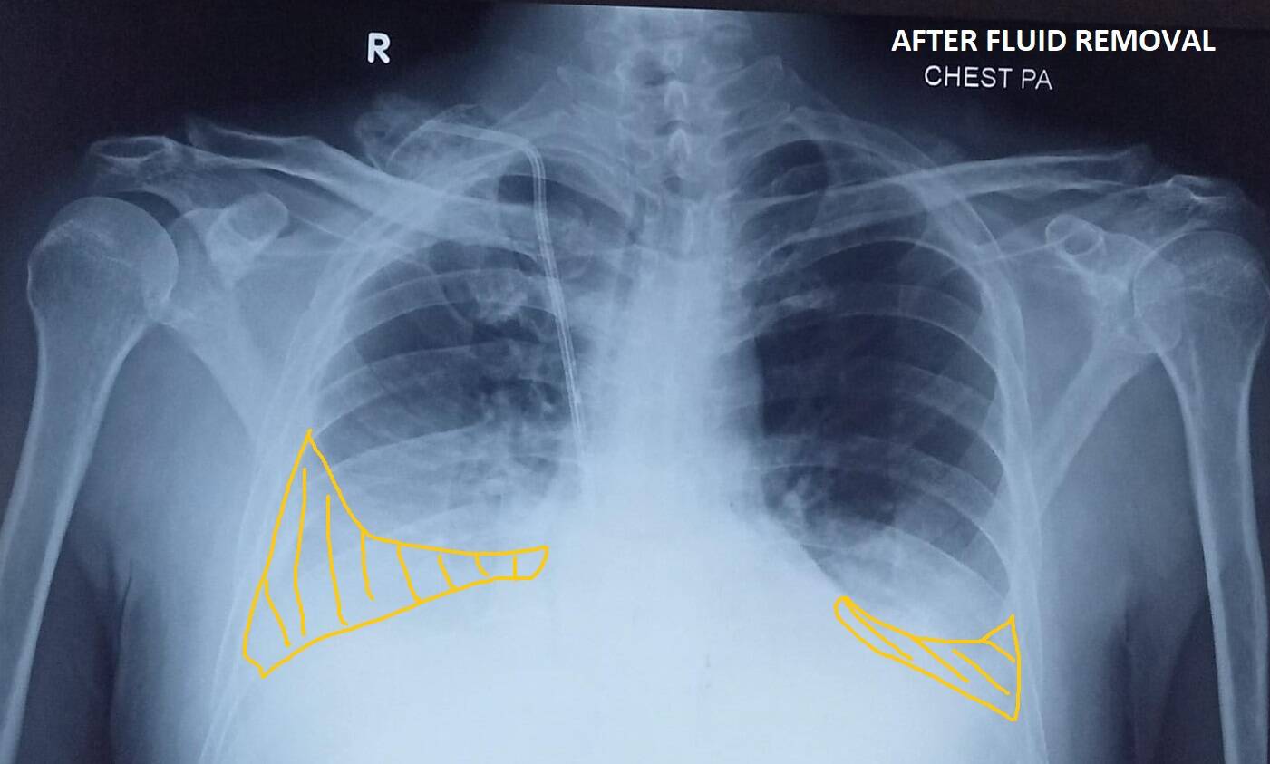
ಇದು ಹೇಗೆ ಆಯ್ತು ಅಂತ ನೀವು ಕೇಳೋದಾದ್ರೆ – ಇವರೊಬ್ಬರು ಕಿಡ್ನಿ ಸಮಸ್ಯೆ ರೋಗಿ. ಈ ವ್ಯಕ್ತಿಯು ಸುಮಾರು ವರ್ಷಗಳಿಂದ ಬಿಪಿ ಮತ್ತು ಶುಗರ್ ಕಾಯಿಲೆಗೆ ಚಿಕಿತ್ಸೆ ಪಡೆಯುತ್ತಿದ್ದರು. ಆದರೆ ಅವರು ವೈದ್ಯರು ನೀಡಿದ ಮಾತ್ರೆಗಳನ್ನು ಪೂರ್ತಿಯಾಗಿ ತೆಗೆದುಕೊಂಡಿಲ್ಲ. ವೈದ್ಯರು ಕೊಟ್ಟಿರುವ ಮಾತ್ರೆಯಲ್ಲಿ ಅರ್ಧ ಡೋಸ್ (Half dose) ತೆಗೆದುಕೊಳ್ಳುವುದು ಅಥವಾ ಕೆಲವೊಮ್ಮೆ ಎರಡು – ಮೂರು ದಿನಕ್ಕೊಮ್ಮೆ (skipping tablets) ಮಾತ್ರೆ ತೆಗೆದುಕೊಳ್ಳುವುದು ಅವರ ರೂಢಿ. ಅವರು ಅಂದುಕೊಂಡಿದ್ದರು ಪ್ರತಿದಿನ ಮಾತ್ರೆ ತಗೊಂಡರೆ ಅದರಿಂದ ಕಿಡ್ನಿ, ಲಿವರ್ ಮತ್ತು ಹೃದಯದ ಸಮಸ್ಯೆ ಬರುತ್ತದೆ. ಮಾತ್ರೆಗಳಿಂದ ಸೈಡ್ ಎಫೆಕ್ಟ್ ಆಗುತ್ತದೆ. ಆದ್ದರಿಂದ ವೈದ್ಯರು ಬರೆದಿದ್ದ ಮಾತ್ರೆಗಿಂತ ಕಡಿಮೆ ಮಾತ್ರೆ ತೆಗೆದುಕೊಂಡರು. ಈ ಕಾರಣದಿಂದಾಗಿ ಅವರ ಬಿಪಿ ಮತ್ತು ಶುಗರ್, ನಿಯಂತ್ರಣದಲ್ಲಿ ಇರಲಿಲ್ಲ. ಅವರು ನನ್ನ ಬಳಿ ಬಂದಾಗ ಕಿಡ್ನಿ ಸಮಸ್ಯೆ ಶುರುವಾಗಿತ್ತು. ಕ್ರಿಯಾಟಿನ್ ಸಮಸ್ಯೆ ಹೆಚ್ಚಿರುವುದರಿಂದಾಗಿ ಅವರಿಗೆ ಡಯಾಲಿಸಿಸ್ (Dialysis / Hemodialysis) ನ ಬಗ್ಗೆ ಹೇಳಿದೆವು, ಅವರು ನಿರಾಕರಿಸಿದರು. ಏನೇ ಚಿಕಿತ್ಸೆ ನೀಡಿದರೂ ಆಗಿರುವ ಹಾನಿ ಸರಿಪಡಿಸಲು ಆಗಲಿಲ್ಲ. ಕಿಡ್ನಿ ಸ್ಪೆಷಲಿಸ್ಟ್ (Nephrology consultation) ಕೂಡ ಭೇಟಿ ಆದರು. ಸಮಸ್ಯೆ ಹೆಚ್ಚುತ್ತಾ ಹೋಯಿತು. ಕ್ರಮೇಣವಾಗಿ ಅವರ ಕ್ರಿಯಾಟೇನಿನ್ ಹೆಚ್ಚಾಗಿ ಅವರ ಆರೋಗ್ಯ ಸ್ಥಿತಿ ಹದಗೆಡುತ್ತಾ ಬಂತು. ಮೂತ್ರದ ಪ್ರಮಾಣ (Reduced urine) ಕಡಿಮೆ ಆಗುತ್ತಾ ದೇಹದಲ್ಲಿ ಯೂರಿಯಾ(Blood Urea), ಕ್ರಿಯಾಟಿನ್ (Serum Creatinine), ಆಸಿಡ್ (Acidosis) ಮತ್ತು ಇತರೆ (Hyperkalemia etc) ತ್ಯಾಜ್ಯ ಪದಾರ್ಥಗಳು ಉಳಿದುಕೊಳ್ಳಲು ಶುರುವಾಯಿತು. ಅವರ ಎದೆಯಲ್ಲಿ ; ಅಂದರೆ ಪುಪ್ಪಸ (Lungs) ಮತ್ತು ಮಾಂಸಖಂಡಗಳ (Chest Wall) ಮಧ್ಯೆ ನೀರು ತುಂಬಿಕೊಳ್ಳಲು ಶುರುವಾಯಿತು. ಇದಕ್ಕೆ ನಾವು ಪ್ಲೂರಲ್ ಎಫ್ಘ್ಯೂಷನ್ (Pleural Effusion) ಎಂದು ಕರೆಯುತ್ತೇವೆ. ಈ ಸಮಸ್ಯೆಯಿಂದ ಅವರು ರಾತ್ರೋರಾತ್ರಿ ಉಸಿರಾಟದ ಸಮಸ್ಯೆಯಾಗಿ ಆಸ್ಪತ್ರೆಗೆ ದಾಖಲಾದರು, ಕೊನೆಗೆ ಡಯಾಲಿಸಿಸ್ ಶುರು ಮಾಡಿದೆವು. ಉಸಿರಾಟದ ತೊಂದರೆ ಹೆಚ್ಚಾದ ಕಾರಣ ಅವರಿಗೆ ಎದೆಯಲ್ಲಿ ಸೂಜಿ ಹಾಕಿ ನೀರನ್ನು ತೆಗೆಯುವ ಸನ್ನಿವೇಶ ಬಂತು (Therapeutic Pleural Tapping).

ಇದೇ ತರ ನಮಗೆ ಹೃದಯದ ಸಮಸ್ಯೆ, ರಕ್ತದ ಅಂಶ ಕಡಿಮೆಯಾದಾಗ, ಲಿವರ್ ಫೇಲ್ಯೂರ್ ಹಾಗೂ ಕಿಡ್ನಿ ಫೇಲ್ಯೂರ್ ಆದಾಗ ನೀರು ತುಂಬಿಕೊಳ್ಳುವುದು ಸಹಜ. ಎದೆಯಲ್ಲಿ ಅಲ್ಲದೆ ಹೊಟ್ಟೆಯಲ್ಲಿ ನೀರು (Ascitis) ತುಂಬಿಕೊಳ್ಳುವುದು ಕೂಡ ಸಾಮಾನ್ಯ.
ನೀರು ತುಂಬಿಕೊಂಡಾಗ ನಮ್ಮ ಕಾಲುಗಳಲ್ಲಿ ಊತ ಹಾಗೂ ಉಸಿರಾಟದ ತೊಂದರೆ ಕಾಣುತ್ತವೆ. ಕೆಲವೊಮ್ಮೆ ಟಿ. ಬಿ ಅಂತ ಕಾಯಿಲೆ ಮತ್ತು ಕ್ಯಾನ್ಸರ್ ಸಮಸ್ಯೆ ಇದ್ದಾಗ ಕೂಡ ಇತರ ನೀರು ತುಂಬಿಕೊಳ್ಳುವುದು ಸಹಜ. ಆಯಾಸ, ದಮ್ಮು,ತೇಕು, ಉಸಿರಾಟದ ತೊಂದರೆ, ಹೊಟ್ಟೆಯಲ್ಲಿ ಊತ , ಕಾಲಲ್ಲಿ ಬಾವು ಇದ್ದಲ್ಲಿ ನಿಮ್ಮ ಹತ್ತಿರದ ಫಿಜಿಶಿಯನ್ ಅಥವಾ ಫ್ಯಾಮಿಲಿ ಡಾಕ್ಟರ್ ನ ಸಂಪರ್ಕಿಸಬೇಕು.
ಈಥರ ನೀರು ತುಂಬಿಕೊಳ್ಳುವ ಸಮಸ್ಯೆ ನಮಗೂ ಕೂಡ ಬರಬಹುದಾ ಅಂತ ಪ್ರಶ್ನೆ ಕೇಳಿದಾಗ ಅದಕ್ಕೆ ಉತ್ತರ- ಹೌದು ನಮಗೂ ಬರಬಹುದು.


ಯಾರೆಲ್ಲಾ ತಮ್ಮ ಜೀವನ ಶೈಲಿಯಲ್ಲಿ ಒಂದು ಶಿಸ್ತನ್ನು ಪಾಲಿಸುವುದಿಲ್ಲ ಮತ್ತು ಅವರಿಗೆ ಯಾವುದಾದರೂ ಕಾಯಿಲೆ ಇದ್ದಲ್ಲಿ ಅದರ ಮಾತ್ರೆಗಳನ್ನು ಸರಿಯಾಗಿ ತೆಗೆದುಕೊಳ್ಳದೆ ಇದ್ದಲ್ಲಿ ಕೆಲವೊಮ್ಮೆ ಈ ಸಮಸ್ಯೆಗಳು ಬರಬಹುದು. ಸಿಗರೇಟ್, ಮಧ್ಯಪಾನ , ತಂಬಾಕು ಸೇವನೆ ಇತರ ಚಟಗಳಿಂದ ನಮ್ಮ ಆರೋಗ್ಯ ಹಾಳಾಗುತ್ತದೆ ಇದರಿಂದ ಕೂಡ ಈಥರ ಆಗಬಹುದು. ಸರಿಯಾಗಿ ಊಟ ಮಾಡದೆ ಇದ್ದಲ್ಲಿ, ಡಯಟಿಂಗ್, ಫುಡ್ ಫ್ಯಾಡಿಸಂ, ಫಾಸ್ಟ್ ಫುಡ್, ರೆಡಿಮೇಡ್ ಫುಡ್ ಮತ್ತು ಪ್ಯಾಕ್ಡ್ ಐಟಮ್ಸ್ ತಿನ್ನುವುದರಿಂದ ನಮ್ಮ ರೋಗ ನಿರೋಧಕ ಶಕ್ತಿ ಕಡಿಮೆ ಆಗುತ್ತದೆ. ಆದ್ದರಿಂದ ಟಿ.ಬಿ ರೋಗ ಬರುವ ಸಾಧ್ಯತೆ ಹೆಚ್ಚು. ಅತಿಯಾದ ಪ್ರೋಸೆಸ್ಡ್ ಫುಡ್ಸ್ ತಿನ್ನುವುದರಿಂದ ಅದರಲ್ಲಿರುವ ಕೆಮಿಕಲ್ಸ್ ಗಳಿಂದ ಕ್ಯಾನ್ಸರ್ ಅಂತ ಕಾಯಿಲೆಗಳು ಕೂಡ ಆಗಬಹುದು. ಲಂಗ್ಸ್ ಕ್ಯಾನ್ಸರ್ ಮತ್ತು ಮೆಟಾಸ್ಟಿಕ್ ಕ್ಯಾನ್ಸರ್ ಅಲ್ಲಿ ನೀರು ತುಂಬಿಕೊಳ್ಳುವುದನ್ನು ನೋಡಬಹುದು.
ಈಥರ ಸಮಸ್ಯೆಗಳ ಲಕ್ಷಣ ಕಂಡುಬಂದಲ್ಲಿ ವೈದ್ಯರು ನಿಮಗೆ ರಕ್ತ ತಪಾಸಣೆ ಮಾಡಿಸುವರು. ಅದರಲ್ಲಿ ಹಿಮೋಗ್ಲೋಬಿನ್, ಲಿವರ್, ಕಿಡ್ನಿ ಪ್ರೊಫೈಲ್ ಮತ್ತು ಆಲ್ಬಮಿನನ್ನು ಪರೀಕ್ಷೆ ಮಾಡುತ್ತಾರೆ. ಇದರ ಜೊತೆಗೆ ಎಕ್ಸರೇ, ಹೊಟ್ಟೆ ಅಲ್ಟ್ರಾ ಸೌಂಡ್ ಸ್ಕ್ಯಾನ್ ಕೂಡ ಸೂಚಿಸುತ್ತಾರೆ. ಹೃದಯದ ಸಮಸ್ಯೆ ಲಕ್ಷಣಗಳು ಇದ್ದಾಗ ಇ.ಸಿ.ಜಿ , ಟಿ.ಎಂ.ಟಿ ಮತ್ತು ಇಕೋ - ಸ್ಕ್ಯಾನ್ ಅವಶ್ಯಕತೆ ಕೂಡ ಬರಬಹುದು.
ಕಲ್ಪನಾ ಮಲ್ಟಿಸ್ಪೆಷಾಲಿಟಿ ಕ್ಲಿನಿಕ್, ಹುಬ್ಬಳ್ಳಿಯ (Kalpana Multispeciality Clinic, Kalidas Nagar, Hubballi) ವೈದ್ಯ ತಂಡವು ನಿಮ್ಮ ಸಹಾಯಕ್ಕೆ ಇದೆ. ಈ ತರಹದ ಹಲವಾರು ರೋಗಿಗಳು ನಮ್ಮ ಆಸ್ಪತ್ರೆಯಲ್ಲಿ ಚಿಕಿತ್ಸೆ ಪಡೆದು ಸಂತೋಷವಾಗಿದ್ದಾರೆ. ಹೆಚ್ಚಿನ ಮಾಹಿತಿಗಾಗಿ - ಕಲ್ಪನಾ ಮಲ್ಟಿ ಸ್ಪೆಷಾಲಿಟಿ ಕ್ಲಿನಿಕ್ ಕಾಳಿದಾಸ ನಗರ ಹುಬ್ಬಳ್ಳಿ ಸಂಪರ್ಕಿಸಿ. Mob : 814-714-8724. Time : 9am to 9pm. SUNDAY HOLIDAY